Signed in as:
filler@godaddy.com
Signed in as:
filler@godaddy.com
Braces are the most reliable way to straighten teeth and correct bite issues, offering proven results for children, teens, and adults.
Clear aligners provide a nearly invisible alternative to braces, giving you a comfortable and discreet way to align your smile.
Our custom 3D printed retainers are precisely designed to maintain your smile after orthodontic treatment with maximum comfort and accuracy.
As a certified Invisalign provider, we use advanced clear aligner technology to straighten teeth effectively without the look or feel of traditional braces
Our custom-made teeth whitening kits are designed to brighten your smile safely and effectively with trays tailored to your teeth
Phase 1 orthodontic appliances guide early jaw and tooth development, helping create healthy smiles for children as young as age 7.
Palatal expanders widen the upper jaw to improve bite alignment, breathing, and space for proper tooth eruption
TADs are small, temporary implants that provide precise anchorage for complex tooth movements, reducing treatment time and improving outcomes.
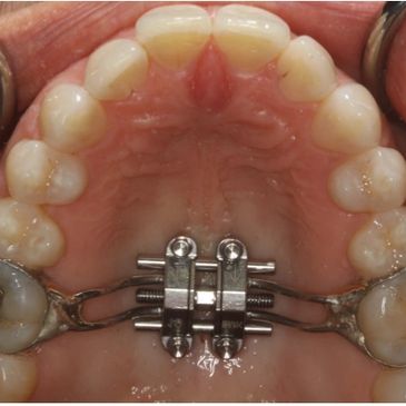
An MSE uses small implants to expand the upper jaw in teens and adults, correcting narrow palates with a minimally invasive approach.
Accelerated orthodontics is a modern approach that helps braces or clear aligners work faster. By using safe, proven techniques to gently stimulate the bones around the teeth, your smile can be straightened in less time—sometimes months faster than traditional treatment.
Custom night guards protect teeth from grinding or clenching, helping prevent wear, discomfort, and jaw problems.
Oral appliances for sleep apnea reposition the jaw to open the airway, providing a comfortable, non-CPAP option for better sleep.

We specialize in guiding impacted canines into place using advanced orthodontic and minimal surgical techniques.

Our team coordinates orthodontics with jaw surgery to correct severe bite and skeletal issues for improved function and aesthetics.

Specialized orthodontics for patients with craniofacial anomalies.

Based off of over two decades of clinical research, our patented aligner, attachments, and treatment planning systems focus on leveraging bio-mechanical forces to achieve even the most complex of movements. Dr. Bar is the cofounder of Moon Aligner System and Is the Chief Clinical Officer (CCO)of the Company.
We use cookies to analyze website traffic and optimize your website experience. By accepting our use of cookies, your data will be aggregated with all other user data.